

前庭阵发症相关概念

概念
概念:短暂发作的旋转性或非旋转性眩晕。眩晕发作和头晕是两个概念,眩晕主要表现为明显的事物旋转感,而非事物的抖动。

病因
病因:第八对颅神经受到以血管为主的临近组织压迫血管痉挛诱发的前庭眩晕。

发展史
1975年,首先报道血管压迫第八对颅神经能够诱发眩晕
1984年,失能性位置性眩晕DVP(disabling positional vertigo)
1986年,微血管减压术治疗有效
1994年,提出VP取代DVP初步提出诊断标准
2008年,修订了1994版的诊断标准并沿用至今
**流行病学:**由于阵发性地发作,发作时间相对短暂,所以临床上很难抓到,属于罕见病。临床发病率小于万分之五,且与性别、年龄无显著差异。

病理生理机制
由假性突触放电所引起,即第八对颅神经轴突受到相邻组织刺激 产生阵发性病理性放电。

听力学表现
听力学表现:发作间期听力检查能发现单侧轻度到中度的不同程度下降,频率不固定,听力下降较梅尼埃病患者轻,可归为可疑性的前庭阵发症。
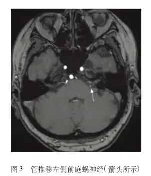
MRI:敏感性高,敏感性可高达60%甚至更高。
第八对颅神经受到血管压迫

诊断标准(2014提出)
肯定的VP(all) :
至少10次自发的旋转或非旋转性眩晕发作
发作持续时间小于1min
症状刻板
卡马西平/奥卡西平治疗有效
不能用其他诊断更好的解释
可能的VP(all) :
至少5次旋转或非旋转性眩晕发作
发作持续时间小于5min
症状刻板
眩晕发作为自发性或由一定头位诱发
不能用其他诊断更好的解释
注意:耳鼻喉科前庭器官是外周性器官,诊断时优先排除中枢性疾病以及其他有可能会引起外周系统受影响的疾病,例如颈椎病等。
前庭阵发症诊断
特点: 反复出现眩晕发作、持续时间短、发作频繁、卡马西平/奥卡西平治疗有效
梅尼埃病
-
持续20min至12h,临床有些病人发作时间会更久。
-
低中频感音性听力损失(>30dB,<2000Hz),且听力损失有波动性,明确的耳朵闷堵或者耳鸣症状时,听力下降最为明显,随着耳部症状的缓解,听力会有恢复,直到下次眩晕发作,听力会再次波动。
Tumarkin’s耳石危象
-
突发性跌倒不伴眩晕
-
梅尼埃病患者多发
-
只有站立位时出现
脑干中风或脱髓鞘后出现的阵发性眩晕
-
与VP十分相似,比较容易混淆,单次发作
-
脑干出现多发性硬化斑或腔隙性梗死灶
-
主要鉴别靠MRI脑干薄层扫描
椎基底动脉短暂缺血发作引起的孤立性眩晕
- 孤立发作,单次发作后不再出现。
惊恐发作:
- 大部分表现为头晕,而非旋转感。主要症状为虚脱、四肢乏力、出汗、恶心呕吐、血压升高等,惊恐频率也是随着头晕的次数同时发生。
外淋巴瘘和上半规管裂
-
压力变化引起的眩晕发作:咳嗽、加压、擤鼻涕、飞机起飞、大的声响
-
病程数秒至数天
发作性共济失调
-
非眩晕地持续数分钟至数小时
-
90%患者有小脑体征
-
凝视诱发的向下的眼震(单纯垂直向的眼震且持续时间较长)
具有前庭先兆的癫痫
-
短暂的眩晕和眼震发作
-
孤立性前庭先兆/非孤立性前庭先兆、孤立性前庭先兆较罕见
-
持续数秒、少见较长时间的前庭先兆
-
通过脑电图和神经影像来鉴别
其他在一定姿势下诱发的反复发作的眩晕
-
BPPV
-
中枢性位置性眩晕/眼震:常见为特定体位时,持续性水平向眼震,动作变化,眼震消失,明显和体位相关。
-
直立性低血压
-
旋转性椎动脉闭塞综合征:神经科首诊可确诊或排除。
前庭阵发症的治疗
神经科药物治疗
低剂量的卡马西平或奥卡西平:效果可高达98%,大部分患者眩晕可明显抑制,短期内不会再次复发。
手术治疗
针对患有精神类疾病或先天血管相关问题的情况,不建议长期用药,可以考虑手术治疗。即微血管减压手术,但存在术中或术后血管痉挛进而引起脑干梗死的风险,所以要慎重选择。



扫码查看回放
健康听力技术论坛
往期回顾
作者:北京大学第三医院听力学中心--刘晓博
编辑:皇甫甜
排版:皇甫甜
